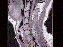
男,16岁,咽异物感6年,无咽部出血及吞咽障碍。检查:舌根部中央有半球形肿物隆起,粘膜光滑,质地中等。颈部淋巴结不大:MRI检查结果如下图,下一步最重...

作者: rantiku 人气: - 评论: 0
问题 男,16岁,咽异物感6年,无咽部出血及吞咽障碍。检查:舌根部中央有半球形肿物隆起,粘膜光滑,质地中等。颈部淋巴结不大: MRI检查结果如下图,下一步最重要的检查是 ( )
选项 A、针吸活检 B、纤维喉镜 C、颈部CT D、放射性I扫描 E、颈部彩超
答案 D
解析 D

猜你喜欢

发表评论
更多 网友评论0 条评论)
暂无评论

访问排行

Copyright © 2012-2014 恰考网 Inc. 保留所有权利。 Powered by tikuer.com

页面耗时0.0327秒, 内存占用1.03 MB, Cache:redis,访问数据库19次