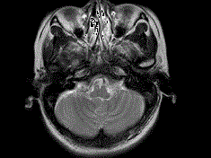
女,41岁,阵发性头痛伴恶心、呕吐20余天.CT影像如图,最可能的诊断为 ( ) A、双侧筛窦息真菌感染B、双侧筛窦过敏性炎症 ...

作者: rantiku 人气: - 评论: 0
问题 女,41岁,阵发性头痛伴恶心、呕吐20余天.CT影像如图,最可能的诊断为 ( )
选项 A、双侧筛窦息真菌感染 B、双侧筛窦过敏性炎症 C、双侧筛窦炎 D、双侧筛窦未见明显异常 E、双侧筛窦息肉
答案 C
解析

猜你喜欢

发表评论
更多 网友评论0 条评论)
暂无评论

访问排行

Copyright © 2012-2014 恰考网 Inc. 保留所有权利。 Powered by tikuer.com

页面耗时0.0748秒, 内存占用1.03 MB, Cache:redis,访问数据库17次