病历摘要: 患者男,37岁,因右鼻塞伴涕中带血4个月入院,患者4个月前始右鼻塞,为间断性,偶有涕中带血,时有流脓性分泌物,并症状渐渐加重。但发病以来患者无...

作者: rantiku 人气: - 评论: 0
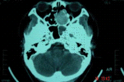
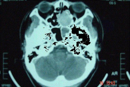
问题 病历摘要: 患者男,37岁,因右鼻塞伴涕中带血4个月入院,患者4个月前始右鼻塞,为间断性,偶有涕中带血,时有流脓性分泌物,并症状渐渐加重。但发病以来患者无头痛、面部麻木和疼痛,无复视及流泪,张口正常。检查:右侧鼻腔总鼻道可见表面光滑、质中、粉红色肿物,触之不易出血。鼻咽黏膜光滑,未见新生物和黏膜糜烂。颈部未及淋巴结肿大。 在活检结果未出来前,你考虑哪些疾病? 提示:鼻窦CT显示:右侧中鼻道-上颌窦窦口区见一软组织密度肿块影,大小约35×5mm,增强扫描中等强化。肿块向外侧破坏上颌窦内侧壁突入上颌窦,向内侧破坏鼻中隔累及左侧鼻腔,向上破坏右侧筛窦下壁。右侧中鼻甲骨质破坏。
选项 A、软骨瘤 B、鼻窦恶性肿瘤 C、血管瘤 D、筛窦黏液性囊肿 E、筛窦浆液性囊肿 F、骨瘤 G、出血性坏死息肉 H、鼻窦真菌病
答案 BDH
解析 BDH

猜你喜欢

发表评论
更多 网友评论0 条评论)
暂无评论

访问排行

Copyright © 2012-2014 恰考网 Inc. 保留所有权利。 Powered by tikuer.com

页面耗时0.0463秒, 内存占用1.04 MB, Cache:redis,访问数据库20次