病历摘要: 患者男,37岁,因右鼻塞伴涕中带血4个月入院,患者4个月前始右鼻塞,为间断性,偶有涕中带血,时有流脓性分泌物,并症状渐渐加重。但发病以来患者无...

作者: rantiku 人气: - 评论: 0
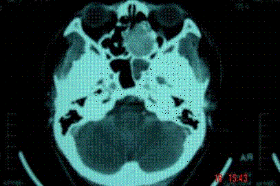
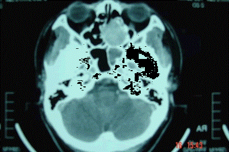
问题 病历摘要: 患者男,37岁,因右鼻塞伴涕中带血4个月入院,患者4个月前始右鼻塞,为间断性,偶有涕中带血,时有流脓性分泌物,并症状渐渐加重。但发病以来患者无头痛、面部麻木和疼痛,无复视及流泪,张口正常。检查:右侧鼻腔总鼻道可见表面光滑、质中、粉红色肿物,触之不易出血。鼻咽黏膜光滑,未见新生物和黏膜糜烂。颈部未及淋巴结肿大。 鼻腔鼻窦恶性肿瘤有哪些手术疗法?
选项 A、鼻内窥镜下鼻腔鼻窦肿瘤切除术 B、上颌骨全切除术 C、上颌骨部分切除术 D、鼻侧切肿瘤开术 E、面中翻进路鼻腔鼻窦肿瘤切除术 F、上颌骨外翻进路鼻腔鼻窦肿瘤切除术 G、扩大上颌骨切除术 H、颅面联合径路肿瘤切除术
答案 ADE
解析 ADE

猜你喜欢

发表评论
更多 网友评论0 条评论)
暂无评论

访问排行

Copyright © 2012-2014 恰考网 Inc. 保留所有权利。 Powered by tikuer.com

页面耗时0.0463秒, 内存占用1.03 MB, Cache:redis,访问数据库20次