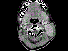
女,19岁,发现左颈部无痛性肿块2年余,可活动,CT如图所示,最可能诊断为 ( ) A、淋巴结结核B、巨淋巴结增生症C、淋巴...

作者: rantiku 人气: - 评论: 0
问题 女,19岁,发现左颈部无痛性肿块2年余,可活动,CT如图所示,最可能诊断为 ( )
选项 A、淋巴结结核 B、巨淋巴结增生症 C、淋巴瘤 D、转移癌 E、淋巴结炎
答案 B
解析

猜你喜欢

发表评论
更多 网友评论0 条评论)
暂无评论

访问排行

Copyright © 2012-2014 恰考网 Inc. 保留所有权利。 Powered by tikuer.com

页面耗时0.0763秒, 内存占用1.03 MB, Cache:redis,访问数据库20次