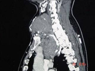
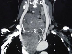
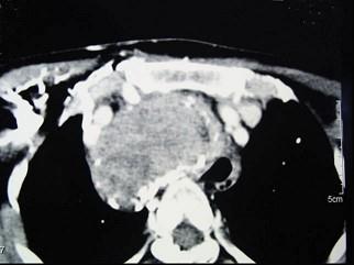
女性,48岁,颈部包块3年,近来胸闷、憋气、胸痛,CT扫描如图,请选择正确的描述和答案 ( )A、胸骨后甲状腺肿是指甲状腺50%位于胸骨后...

作者: rantiku 人气: - 评论: 0
问题 女性,48岁,颈部包块3年,近来胸闷、憋气、胸痛,CT扫描如图,请选择正确的描述和答案 ( )
选项 A、胸骨后甲状腺肿是指甲状腺50%位于胸骨后 B、胸骨后甲状腺肿是指甲状腺60%位于胸骨后 C、考虑为血管瘤 D、考虑为双侧甲状腺肿大 E、考虑为胸骨后甲状腺肿
答案 AE
解析

猜你喜欢

发表评论
更多 网友评论0 条评论)
暂无评论

访问排行

Copyright © 2012-2014 恰考网 Inc. 保留所有权利。 Powered by tikuer.com

页面耗时0.0342秒, 内存占用1.03 MB, Cache:redis,访问数据库19次