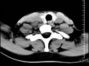
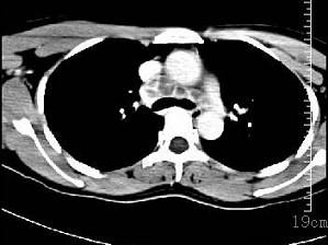
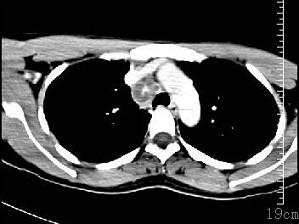
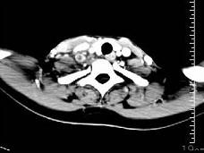
女性35岁,发热、盗汗近3个月,颈部摸到多个结节,CT扫描如图所示,请选择最可能的诊断 ( )A、淋巴结核B、淋巴瘤C、结节病...

作者: rantiku 人气: - 评论: 0
问题 女性35岁,发热、盗汗近3个月,颈部摸到多个结节,CT扫描如图所示,请选择最可能的诊断 ( )
选项 A、淋巴结核 B、淋巴瘤 C、结节病 D、淋巴转移癌 E、神经鞘瘤
答案 A
解析

猜你喜欢

发表评论
更多 网友评论0 条评论)
暂无评论

访问排行

Copyright © 2012-2014 恰考网 Inc. 保留所有权利。 Powered by tikuer.com

页面耗时0.0282秒, 内存占用1.03 MB, Cache:redis,访问数据库19次