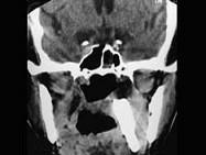
67岁男性患者,咽喉部异物感3年余,从小经常出现咽喉部疼痛伴发热,行X线及CT检查如图所示,请选择正确的描述和结论 ( )A、右侧扁桃体出血B...

作者: rantiku 人气: - 评论: 0
问题 67岁男性患者,咽喉部异物感3年余,从小经常出现咽喉部疼痛伴发热,行X线及CT检查如图所示,请选择正确的描述和结论 ( )
选项 A、右侧扁桃体出血 B、右侧扁桃体肿瘤 C、CT示右侧下颌骨内侧咽旁间隙见条形致密影 D、右侧扁桃体结石 E、侧位示与下颌骨部分重叠的条形致密影
答案 CDE
解析

猜你喜欢

发表评论
更多 网友评论0 条评论)
暂无评论

访问排行

Copyright © 2012-2014 恰考网 Inc. 保留所有权利。 Powered by tikuer.com

页面耗时0.0381秒, 内存占用1.03 MB, Cache:redis,访问数据库20次