病历摘要: 患者男,37岁,因右鼻塞伴涕中带血4个月入院,患者4个月前始右鼻塞,为间断性,偶有涕中带血,时有流脓性分泌物,并症状渐渐加重。但发病以来患者无...

作者: rantiku 人气: - 评论: 0
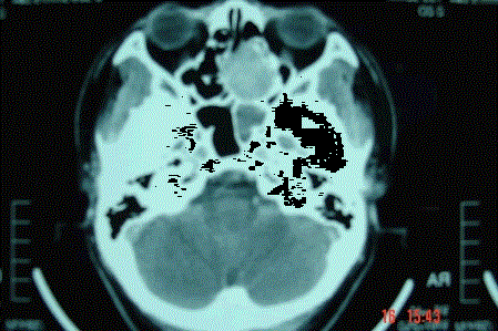
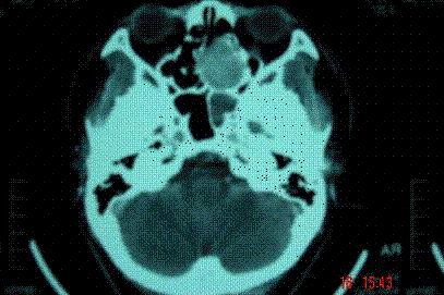
问题 病历摘要: 患者男,37岁,因右鼻塞伴涕中带血4个月入院,患者4个月前始右鼻塞,为间断性,偶有涕中带血,时有流脓性分泌物,并症状渐渐加重。但发病以来患者无头痛、面部麻木和疼痛,无复视及流泪,张口正常。检查:右侧鼻腔总鼻道可见表面光滑、质中、粉红色肿物,触之不易出血。鼻咽黏膜光滑,未见新生物和黏膜糜烂。颈部未及淋巴结肿大。 按UICC1992年分期,该患者为: 提示:通过病理活检,结果为囊性腺样癌
选项 A、3期 B、TNM C、TNM D、TNM E、1期 F、2期 G、TNM H、0期
答案 AC
解析 AC

猜你喜欢

发表评论
更多 网友评论0 条评论)
暂无评论

访问排行

Copyright © 2012-2014 恰考网 Inc. 保留所有权利。 Powered by tikuer.com

页面耗时0.0348秒, 内存占用1.04 MB, Cache:redis,访问数据库20次