17岁男性,左侧上睑下垂,CT检查如图所示,请选择正确的描述或诊断 ( )A、考虑为真菌性副鼻窦炎B、考虑为细菌性副鼻窦炎C、左侧上颌窦窦口扩...

作者: rantiku 人气: - 评论: 0
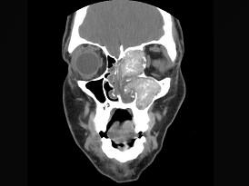
问题 17岁男性,左侧上睑下垂,CT检查如图所示,请选择正确的描述或诊断 ( )
选项 A、考虑为真菌性副鼻窦炎 B、考虑为细菌性副鼻窦炎 C、左侧上颌窦窦口扩大 D、鼻中隔、左侧眶内壁、上颌窦内侧壁骨质破坏 E、左侧上颌窦、筛窦内见软组织块影
答案 ACDE
解析

猜你喜欢

发表评论
更多 网友评论0 条评论)
暂无评论

访问排行

Copyright © 2012-2014 恰考网 Inc. 保留所有权利。 Powered by tikuer.com

页面耗时0.0634秒, 内存占用1.03 MB, Cache:redis,访问数据库14次