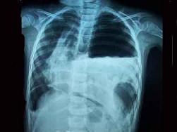
2岁肺炎患儿突然烦躁不安,呼吸困难,面色青紫。心率160次/min,左侧肺部叩诊鼓音,听诊呼吸音减低。纵隔向右移位。肝右肋下2.5cm,胸片见图。该患儿最...

作者: rantiku 人气: - 评论: 0
问题 2岁肺炎患儿突然烦躁不安,呼吸困难,面色青紫。心率160次/min,左侧肺部叩诊鼓音,听诊呼吸音减低。纵隔向右移位。肝右肋下2.5cm,胸片见图。该患儿最可能合并 ( )
选项 A、肺不张 B、支气管异物 C、心力衰竭 D、脓气胸 E、脓胸
答案 D
解析

猜你喜欢

发表评论
更多 网友评论0 条评论)
暂无评论

访问排行

Copyright © 2012-2014 恰考网 Inc. 保留所有权利。 Powered by tikuer.com

页面耗时0.0312秒, 内存占用1.03 MB, Cache:redis,访问数据库19次