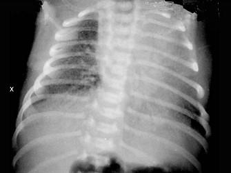
6个月婴儿,发热、咳嗽4天,喘憋2天。体检:体温38.5℃,呼吸75次/min,心率160次/min,口周发绀,呼气延长,伴呼气时呻吟,双肺满布喘鸣音,可...

作者: rantiku 人气: - 评论: 0
问题 6个月婴儿,发热、咳嗽4天,喘憋2天。体检:体温38.5℃,呼吸75次/min,心率160次/min,口周发绀,呼气延长,伴呼气时呻吟,双肺满布喘鸣音,可闻及少许中小水泡音,肝右肋下2.5cm,质软。血白细胞9×10/L,胸片示双肺透明度增加,双肺纹理增强,见图。应考虑为 ( )
选项 A、支气管肺炎合并心力衰竭 B、腺病毒性肺炎 C、哮喘性支气管炎 D、急性毛细支气管炎 E、急性支气管炎
答案 D
解析

猜你喜欢

发表评论
更多 网友评论0 条评论)
暂无评论

访问排行

Copyright © 2012-2014 恰考网 Inc. 保留所有权利。 Powered by tikuer.com

页面耗时0.0286秒, 内存占用1.03 MB, Cache:redis,访问数据库19次