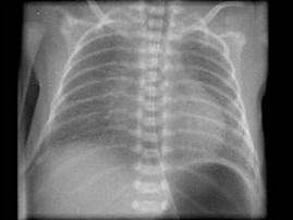
女,一天,呼吸困难、发绀,请结合图像选择最可能的诊断 ( )A、新生儿支气管炎B、肺不张C、新生儿肺炎D、法洛四联征E、呼吸窘迫综合征

作者: rantiku 人气: - 评论: 0
问题 女,一天,呼吸困难、发绀,请结合图像选择最可能的诊断 ( )
选项 A、新生儿支气管炎 B、肺不张 C、新生儿肺炎 D、法洛四联征 E、呼吸窘迫综合征
答案 E
解析

猜你喜欢

发表评论
更多 网友评论0 条评论)
暂无评论

访问排行

Copyright © 2012-2014 恰考网 Inc. 保留所有权利。 Powered by tikuer.com

页面耗时0.0535秒, 内存占用1.03 MB, Cache:redis,访问数据库18次