4个月婴儿,因发热、咳嗽、气喘6天来诊。体格检查呈重病容,精神极度萎靡,皮肤有猩红热样皮疹,呼吸急促,三凹征明显,两肺散在中小水泡音,腹胀。实验室检查:血...

作者: rantiku 人气: - 评论: 0
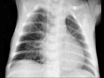
问题 4个月婴儿,因发热、咳嗽、气喘6天来诊。体格检查呈重病容,精神极度萎靡,皮肤有猩红热样皮疹,呼吸急促,三凹征明显,两肺散在中小水泡音,腹胀。实验室检查:血白细胞总数为26×10/L,淋巴80%,胸片示轻度肺气肿,见图,诊断应考虑 ( )
选项 A、肺炎双球菌肺炎 B、金黄色葡萄球菌肺炎 C、腺病毒性肺炎 D、支原体肺炎 E、急性毛细支气管炎
答案 B
解析

猜你喜欢

发表评论
更多 网友评论0 条评论)
暂无评论

访问排行

Copyright © 2012-2014 恰考网 Inc. 保留所有权利。 Powered by tikuer.com

页面耗时0.0543秒, 内存占用1.03 MB, Cache:redis,访问数据库14次