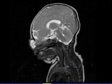
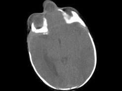
出生两天的男婴,鼻根部眉间正中有一肿块,CT检查如图,请选择最可能的诊断 ( )A、鼻息肉B、鼻咽癌C、脑膨出D、硬膜外囊肿E...

作者: rantiku 人气: - 评论: 0
问题 出生两天的男婴,鼻根部眉间正中有一肿块,CT检查如图,请选择最可能的诊断 ( )
选项 A、鼻息肉 B、鼻咽癌 C、脑膨出 D、硬膜外囊肿 E、蛛网膜囊肿
答案 C
解析

猜你喜欢

发表评论
更多 网友评论0 条评论)
暂无评论

访问排行

Copyright © 2012-2014 恰考网 Inc. 保留所有权利。 Powered by tikuer.com

页面耗时0.0316秒, 内存占用1.03 MB, Cache:redis,访问数据库14次