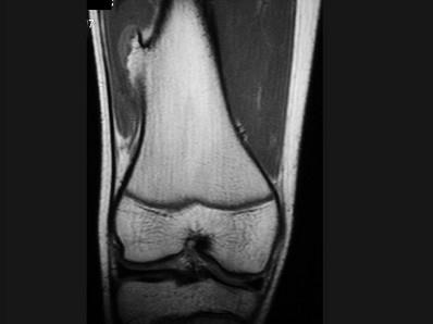
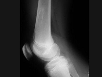
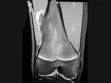
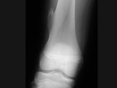
男,13岁,运动后膝痛,请结合影像图像,选择最可能的诊断 ( )A、成骨细胞瘤B、骨样骨瘤C、动脉瘤样骨囊肿D、骨软骨瘤E...

作者: rantiku 人气: - 评论: 0
问题 男,13岁,运动后膝痛,请结合影像图像,选择最可能的诊断 ( )
选项 A、成骨细胞瘤 B、骨样骨瘤 C、动脉瘤样骨囊肿 D、骨软骨瘤 E、正常影像
答案 D
解析

猜你喜欢

发表评论
更多 网友评论0 条评论)
暂无评论

访问排行

Copyright © 2012-2014 恰考网 Inc. 保留所有权利。 Powered by tikuer.com

页面耗时0.0419秒, 内存占用1.03 MB, Cache:redis,访问数据库20次