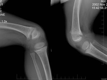
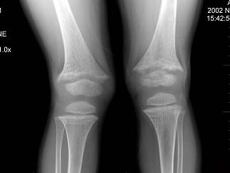
男,6岁,睡眠差,夜惊,多汗;出牙较迟;血清磷减低、血清钙减低、碱性磷酸酶升高卜,请结合图像选择最佳选项 ( )A、肾性维生素D缺乏病B、脆骨...

作者: rantiku 人气: - 评论: 0
问题 男,6岁,睡眠差,夜惊,多汗;出牙较迟;血清磷减低、血清钙减低、碱性磷酸酶升高卜,请结合图像选择最佳选项 ( )
选项 A、肾性维生素D缺乏病 B、脆骨病 C、骨软化症 D、先天性骨梅毒 E、维生素D缺乏病
答案 E
解析

猜你喜欢

发表评论
更多 网友评论0 条评论)
暂无评论

访问排行

Copyright © 2012-2014 恰考网 Inc. 保留所有权利。 Powered by tikuer.com

页面耗时0.0482秒, 内存占用1.03 MB, Cache:redis,访问数据库17次