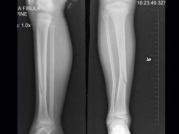
8岁女性患者,因外伤后致右胫骨骨折,下列描述正确的是 ( )A、对位对线差B、以上都不正确C、对位差,对线好D、对位对线好E、对位好,对线差

作者: rantiku 人气: - 评论: 0
问题 8岁女性患者,因外伤后致右胫骨骨折,下列描述正确的是 ( )
选项 A、对位对线差 B、以上都不正确 C、对位差,对线好 D、对位对线好 E、对位好,对线差
答案 E
解析

猜你喜欢

发表评论
更多 网友评论0 条评论)
暂无评论

访问排行

Copyright © 2012-2014 恰考网 Inc. 保留所有权利。 Powered by tikuer.com

页面耗时0.0371秒, 内存占用1.03 MB, Cache:redis,访问数据库16次