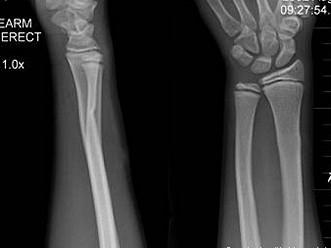
男,10岁,有外伤,根据所提供图像,选择最佳选项 ( )A、腕关节脱位B、踝关节脱位C、骺移骨折D、青枝骨折E、未见异常

作者: rantiku 人气: - 评论: 0
问题 男,10岁,有外伤,根据所提供图像,选择最佳选项 ( )
选项 A、腕关节脱位 B、踝关节脱位 C、骺移骨折 D、青枝骨折 E、未见异常
答案 D
解析

猜你喜欢

发表评论
更多 网友评论0 条评论)
暂无评论

访问排行

Copyright © 2012-2014 恰考网 Inc. 保留所有权利。 Powered by tikuer.com

页面耗时0.0340秒, 内存占用1.03 MB, Cache:redis,访问数据库19次