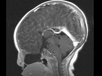
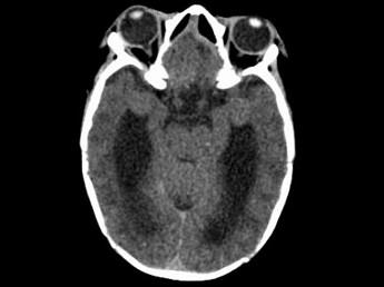
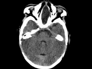
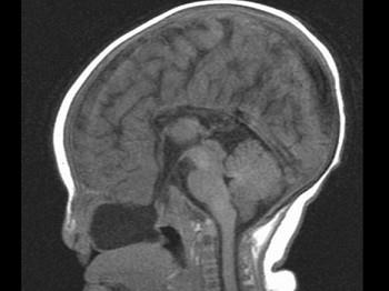
两个月女婴,口咽部有一肿块,行CT检查如图,请选择最可能的诊断 ( )A、前脑无裂畸形B、Dandy-Walker综合征C、胼胝体...

作者: rantiku 人气: - 评论: 0
问题 两个月女婴,口咽部有一肿块,行CT检查如图,请选择最可能的诊断 ( )
选项 A、前脑无裂畸形 B、Dandy-Walker综合征 C、胼胝体发育不全 D、透明隔囊肿 E、脑积水
答案 C
解析

猜你喜欢

发表评论
更多 网友评论0 条评论)
暂无评论

访问排行

Copyright © 2012-2014 恰考网 Inc. 保留所有权利。 Powered by tikuer.com

页面耗时0.0625秒, 内存占用1.02 MB, Cache:redis,访问数据库13次