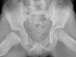
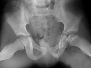
男,6岁,髋痛、跛行,请结合CR检查,选出最可能的诊断 ( )A、骨囊肿B、软骨肉瘤C、股骨头骨骺缺血坏死D、骨肉瘤E、髋...

作者: rantiku 人气: - 评论: 0
问题 男,6岁,髋痛、跛行,请结合CR检查,选出最可能的诊断 ( )
选项 A、骨囊肿 B、软骨肉瘤 C、股骨头骨骺缺血坏死 D、骨肉瘤 E、髋关节结核
答案 C
解析

猜你喜欢

发表评论
更多 网友评论0 条评论)
暂无评论

访问排行

Copyright © 2012-2014 恰考网 Inc. 保留所有权利。 Powered by tikuer.com

页面耗时0.0452秒, 内存占用1.03 MB, Cache:redis,访问数据库20次