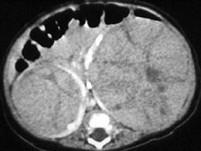
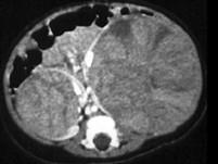
男,2岁,触及腹部包块,未及肿大淋巴结,请根据所示图像,选择最可能诊断 ( )A、双侧肾癌B、双肾神经母细胞瘤C、双肾转移瘤D、双侧肾...

作者: rantiku 人气: - 评论: 0
问题 男,2岁,触及腹部包块,未及肿大淋巴结,请根据所示图像,选择最可能诊断 ( )
选项 A、双侧肾癌 B、双肾神经母细胞瘤 C、双肾转移瘤 D、双侧肾母细胞瘤(Wilms瘤) E、双肾淋巴瘤
答案 D
解析

猜你喜欢

发表评论
更多 网友评论0 条评论)
暂无评论

访问排行

Copyright © 2012-2014 恰考网 Inc. 保留所有权利。 Powered by tikuer.com

页面耗时0.0353秒, 内存占用1.03 MB, Cache:redis,访问数据库19次