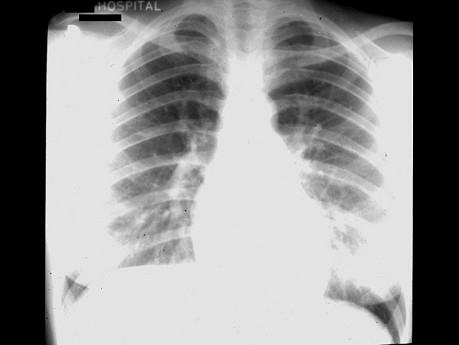
男孩,3岁半,患先心病无发绀。X线检查如图所示:左心室增大,主动脉影增宽,肺野充血。考虑下列哪一种诊断可能性大 ( )A、法洛四联症B、艾森曼格综...

作者: rantiku 人气: - 评论: 0
问题 男孩,3岁半,患先心病无发绀。X线检查如图所示:左心室增大,主动脉影增宽,肺野充血。考虑下列哪一种诊断可能性大 ( )
选项 A、法洛四联症 B、艾森曼格综合征 C、室间隔缺损 D、房间隔缺损 E、动脉导管未闭
答案 E
解析

猜你喜欢

发表评论
更多 网友评论0 条评论)
暂无评论
错误啦!

错误信息

  • 消息: [程序异常] : MISCONF Redis is configured to save RDB snapshots, but it's currently unable to persist to disk. Commands that may modify the data set are disabled, because this instance is configured to report errors during writes if RDB snapshotting fails (stop-writes-on-bgsave-error option). Please check the Redis logs for details about the RDB error.
  • 文件: /twcms/kongphp/cache/cache_redis.class.php
  • 位置: 第 85 行
    <?php echo 'KongPHP, Road to Jane.'; ?>