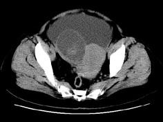
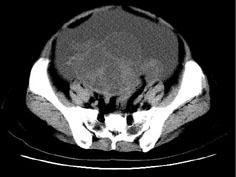
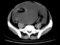
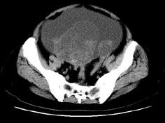
女,27岁,腹胀伴消瘦两个月,CT检查如图所示,应诊断为 ( )A、卵巢粘液性囊腺瘤B、卵巢粘液性囊腺癌C、卵巢浆液性囊腺...

作者: rantiku 人气: - 评论: 0
问题 女,27岁,腹胀伴消瘦两个月,CT检查如图所示,应诊断为 ( )
选项 A、卵巢粘液性囊腺瘤 B、卵巢粘液性囊腺癌 C、卵巢浆液性囊腺瘤 D、卵巢浆液性囊腺癌 E、子宫肌瘤
答案 D
解析

猜你喜欢

发表评论
更多 网友评论0 条评论)
暂无评论

访问排行

Copyright © 2012-2014 恰考网 Inc. 保留所有权利。 Powered by tikuer.com

页面耗时0.0348秒, 内存占用1.03 MB, Cache:redis,访问数据库20次