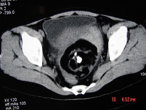
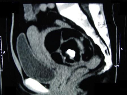
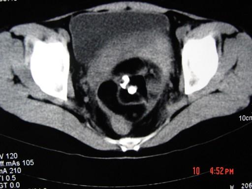
52岁女性患者,因下腹部胀痛就诊,B超提示:盆腔占位,行CT扫描,如图所示盆腔内见囊实性肿块,其内CT值不均,从-120至300hu不等,最可能的诊断为 ...

作者: rantiku 人气: - 评论: 0
问题 52岁女性患者,因下腹部胀痛就诊,B超提示:盆腔占位,行CT扫描,如图所示盆腔内见囊实性肿块,其内CT值不均,从-120至300hu不等,最可能的诊断为 ( )
选项 A、卵巢囊肿 B、卵巢粘液瘤 C、盆腔结核 D、子宫肌瘤 E、盆腔畸胎瘤
答案 E
解析

猜你喜欢

发表评论
更多 网友评论0 条评论)
暂无评论

访问排行

Copyright © 2012-2014 恰考网 Inc. 保留所有权利。 Powered by tikuer.com

页面耗时0.0304秒, 内存占用1.03 MB, Cache:redis,访问数据库18次