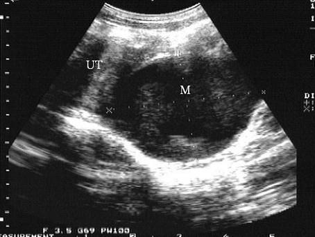
女性,16岁,周期性下腹疼痛伴排尿困难。月经未来潮。超声检查见图,最可能的诊断是 ( )A、宫颈囊肿B、子宫肌瘤C、子宫破裂D、异...

作者: rantiku 人气: - 评论: 0
问题 女性,16岁,周期性下腹疼痛伴排尿困难。月经未来潮。超声检查见图,最可能的诊断是 ( )
选项 A、宫颈囊肿 B、子宫肌瘤 C、子宫破裂 D、异位妊娠 E、处女膜闭锁
答案 E
解析

猜你喜欢

发表评论
更多 网友评论0 条评论)
暂无评论

访问排行

Copyright © 2012-2014 恰考网 Inc. 保留所有权利。 Powered by tikuer.com

页面耗时0.0622秒, 内存占用1.03 MB, Cache:redis,访问数据库18次