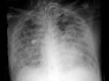
该图为一羊水栓塞患者的胸片,处理原则为 ( )A、预防肾功能衰竭、预防感染B、A+B+C+DC、抗过敏,抗休克D、防治DICE...

作者: rantiku 人气: - 评论: 0
问题 该图为一羊水栓塞患者的胸片,处理原则为 ( )
选项 A、预防肾功能衰竭、预防感染 B、A+B+C+D C、抗过敏,抗休克 D、防治DIC E、解除肺动脉高压,改善低氧血症
答案 B
解析

猜你喜欢

发表评论
更多 网友评论0 条评论)
暂无评论

访问排行

Copyright © 2012-2014 恰考网 Inc. 保留所有权利。 Powered by tikuer.com

页面耗时0.0681秒, 内存占用1.02 MB, Cache:redis,访问数据库13次