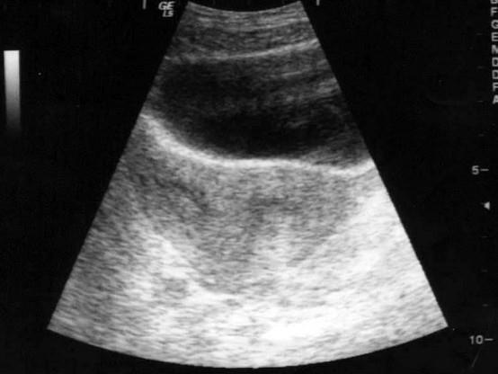
下图诊断最可能是 ( )A、纵隔子宫B、以上均是C、残角子宫D、双角子宫E、双子宫

作者: rantiku 人气: - 评论: 0
问题 下图诊断最可能是 ( )
选项 A、纵隔子宫 B、以上均是 C、残角子宫 D、双角子宫 E、双子宫
答案 A
解析

猜你喜欢

发表评论
更多 网友评论0 条评论)
暂无评论

访问排行

Copyright © 2012-2014 恰考网 Inc. 保留所有权利。 Powered by tikuer.com

页面耗时0.0405秒, 内存占用1.03 MB, Cache:redis,访问数据库18次