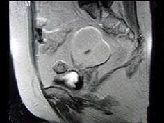
55岁女性患者,绝经后阴道排液半年余,行MRI检查,如图所示,最佳答案是 ( )A、子宫肌瘤B、子宫内膜癌C、子宫颈癌...

作者: rantiku 人气: - 评论: 0
问题 55岁女性患者,绝经后阴道排液半年余,行MRI检查,如图所示,最佳答案是 ( )
选项 A、子宫肌瘤 B、子宫内膜癌 C、子宫颈癌 D、正常子宫 E、子宫内膜异位症
答案 B
解析

猜你喜欢

发表评论
更多 网友评论0 条评论)
暂无评论

访问排行

Copyright © 2012-2014 恰考网 Inc. 保留所有权利。 Powered by tikuer.com

页面耗时0.0371秒, 内存占用1.03 MB, Cache:redis,访问数据库20次