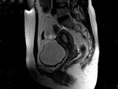
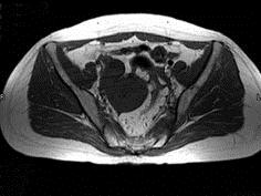
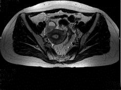
女性,46岁,无任何不适,体检扪及盆腔包块,行MRI检查,如图所示,最佳答案是 ( )A、卵巢粘液囊腺瘤B、卵巢结核C、卵...

作者: rantiku 人气: - 评论: 0
问题 女性,46岁,无任何不适,体检扪及盆腔包块,行MRI检查,如图所示,最佳答案是 ( )
选项 A、卵巢粘液囊腺瘤 B、卵巢结核 C、卵巢皮样囊肿 D、卵巢粘液癌 E、卵巢囊肿
答案 E
解析

猜你喜欢

发表评论
更多 网友评论0 条评论)
暂无评论

访问排行

Copyright © 2012-2014 恰考网 Inc. 保留所有权利。 Powered by tikuer.com

页面耗时0.0425秒, 内存占用1.03 MB, Cache:redis,访问数据库18次