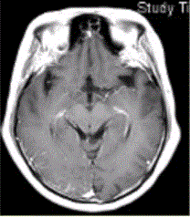
女性,62岁,乳腺癌病史,头颅MR增强检查显示如下图,可能的诊断为A.脑结核B.硬脑膜转移C.柔脑膜转移D.脑膜炎E.脑膜肉芽肿

作者: rantiku 人气: - 评论: 0
问题 女性,62岁,乳腺癌病史,头颅MR增强检查显示如下图,可能的诊断为
选项 A.脑结核 B.硬脑膜转移 C.柔脑膜转移 D.脑膜炎 E.脑膜肉芽肿
答案 C
解析

猜你喜欢

发表评论
更多 网友评论0 条评论)
暂无评论

Copyright © 2012-2014 恰考网 Inc. 保留所有权利。 Powered by tikuer.com

页面耗时0.0312秒, 内存占用1.03 MB, Cache:redis,访问数据库17次