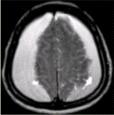
男性,55岁。突发昏迷,MRI表现如下图,可能的诊断是A.硬膜下血肿B.正常C.硬膜外血肿D.脑挫裂伤E.脑脓肿

作者: rantiku 人气: - 评论: 0
问题 男性,55岁。突发昏迷,MRI表现如下图,可能的诊断是
选项 A.硬膜下血肿 B.正常 C.硬膜外血肿 D.脑挫裂伤 E.脑脓肿
答案 A
解析

猜你喜欢

发表评论
更多 网友评论0 条评论)
暂无评论

Copyright © 2012-2014 恰考网 Inc. 保留所有权利。 Powered by tikuer.com

页面耗时0.0321秒, 内存占用1.03 MB, Cache:redis,访问数据库18次