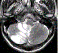
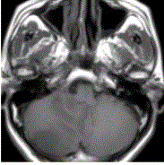
患者女,75岁,突发偏瘫、头痛、头晕10h。既往有高血脂、糖尿病史。MRI表现如下图。初步诊断为A.脑星形细胞瘤B.脑急性血肿C....

作者: rantiku 人气: - 评论: 0
问题 患者女,75岁,突发偏瘫、头痛、头晕10h。既往有高血脂、糖尿病史。MRI表现如下图。 初步诊断为
选项 A.脑星形细胞瘤 B.脑急性血肿 C.蛛网膜下隙出血 D.脑急性梗死 E.急性化脓性脑炎
答案 D
解析

猜你喜欢

发表评论
更多 网友评论0 条评论)
暂无评论

Copyright © 2012-2014 恰考网 Inc. 保留所有权利。 Powered by tikuer.com

页面耗时0.0346秒, 内存占用1.03 MB, Cache:redis,访问数据库19次