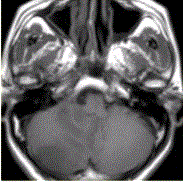
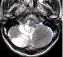
患者女,75岁,突发偏瘫、头痛、头晕10h。既往有高血脂、糖尿病史。MRI表现如下图。关于脑梗死影像表现,下列描述不正确的是A.发病24h...

作者: rantiku 人气: - 评论: 0
问题 患者女,75岁,突发偏瘫、头痛、头晕10h。既往有高血脂、糖尿病史。MRI表现如下图。 关于脑梗死影像表现,下列描述不正确的是
选项 A.发病24h内,CT可正常 B.发病24h内,MRI可有阳性表现 C.发病24h内,CT上强化最明显 D.对小脑、脑干病变,MRI优于CT E.DWI序列优于常规的T1WI、T2WI
答案 C
解析

猜你喜欢

发表评论
更多 网友评论0 条评论)
暂无评论

Copyright © 2012-2014 恰考网 Inc. 保留所有权利。 Powered by tikuer.com

页面耗时0.0411秒, 内存占用1.03 MB, Cache:redis,访问数据库15次