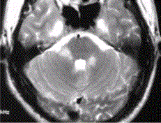
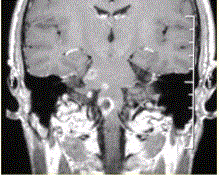
患者男,35岁,肢体无力半年。头部MRI显示如下图。患者经过半年随访,MRI表现如下图,提示病变分型属于A.复发-缓解型B.继发-进展型 ...

作者: rantiku 人气: - 评论: 0
问题 患者男,35岁,肢体无力半年。头部MRI显示如下图。 患者经过半年随访,MRI表现如下图,提示病变分型属于
选项 A.复发-缓解型 B.继发-进展型 C.原发-进展-复发型 D.单期相 E.快速进展型
答案 A
解析

猜你喜欢

发表评论
更多 网友评论0 条评论)
暂无评论

Copyright © 2012-2014 恰考网 Inc. 保留所有权利。 Powered by tikuer.com

页面耗时0.0538秒, 内存占用1.03 MB, Cache:redis,访问数据库19次