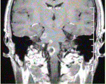
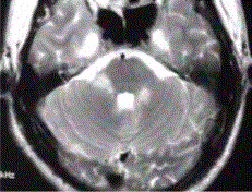
患者男,35岁,肢体无力半年。头部MRI显示如下图。患者的下一步治疗包括A.免疫抑制剂及激素B.降颅压C.抗炎D.抗血栓E.无...

作者: rantiku 人气: - 评论: 0
问题 患者男,35岁,肢体无力半年。头部MRI显示如下图。 患者的下一步治疗包括
选项 A.免疫抑制剂及激素 B.降颅压 C.抗炎 D.抗血栓 E.无须特殊治疗
答案 A
解析

猜你喜欢

发表评论
更多 网友评论0 条评论)
暂无评论

Copyright © 2012-2014 恰考网 Inc. 保留所有权利。 Powered by tikuer.com

页面耗时0.0787秒, 内存占用1.03 MB, Cache:redis,访问数据库19次