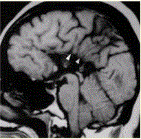
患者女,43岁。智力低下。MRI结果如下图所示。可能的诊断是A.胼胝体缺如B.脑裂畸形C.灰质异位D.结节性硬化E.Sturge-...

作者: rantiku 人气: - 评论: 0
问题 患者女,43岁。智力低下。MRI结果如下图所示。 可能的诊断是
选项 A.胼胝体缺如 B.脑裂畸形 C.灰质异位 D.结节性硬化 E.Sturge-weber综合征
答案 A
解析

猜你喜欢

发表评论
更多 网友评论0 条评论)
暂无评论

Copyright © 2012-2014 恰考网 Inc. 保留所有权利。 Powered by tikuer.com

页面耗时0.0530秒, 内存占用1.03 MB, Cache:redis,访问数据库19次