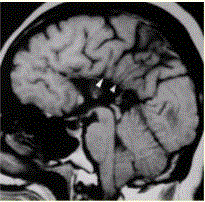
患者女,43岁。智力低下。MRI结果如下图所示。关于该病的描述,错误的是A.常与其他畸形伴发,如前脑无裂畸形、Chiari畸形、胼胝体脂肪瘤等...

作者: rantiku 人气: - 评论: 0
问题 患者女,43岁。智力低下。MRI结果如下图所示。 关于该病的描述,错误的是
选项 A.常与其他畸形伴发,如前脑无裂畸形、Chiari畸形、胼胝体脂肪瘤等 B.均为全部缺如 C.矢状位显示最佳,无胼胝体结构 D.脑回放射状排列,指向侧脑室 E.影像学首选MR矢状面、冠状面
答案 B
解析

猜你喜欢

发表评论
更多 网友评论0 条评论)
暂无评论

Copyright © 2012-2014 恰考网 Inc. 保留所有权利。 Powered by tikuer.com

页面耗时0.0415秒, 内存占用1.03 MB, Cache:redis,访问数据库18次