患者女,40岁,手部麻木数年。MR显示如下图。关于各型Chiari畸形的描述,错误的是A.Ⅰ型,常见,可伴有脑积水,脊髓空洞,环枕区畸形B.Ⅱ...

作者: rantiku 人气: - 评论: 0
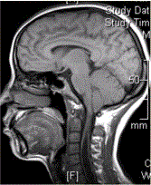
问题 患者女,40岁,手部麻木数年。MR显示如下图。 关于各型Chiari畸形的描述,错误的是
选项 A.Ⅰ型,常见,可伴有脑积水,脊髓空洞,环枕区畸形 B.Ⅱ型,最常见。小脑下蚓部、桥脑下部、延髓下移、Ⅳ脑室延长。伴有脊髓脊膜膨出,腰骶部多见(3/4) C.MR矢状位清晰显示小脑扁桃体,延髓位置及IV脑室形态、位置 D.MR可显示脑积水、脑膜膨出 E.不伴有大脑镰、天幕发育不良
答案 E
解析

猜你喜欢

发表评论
更多 网友评论0 条评论)
暂无评论

Copyright © 2012-2014 恰考网 Inc. 保留所有权利。 Powered by tikuer.com

页面耗时0.0518秒, 内存占用1.03 MB, Cache:redis,访问数据库20次