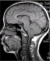
患者女,40岁,手部麻木数年。MR显示如下图。可能的诊断为A.Chiari畸形Ⅰ型B.Chiari畸形Ⅱ型C.脊髓空洞症D.Dandy...

作者: rantiku 人气: - 评论: 0
问题 患者女,40岁,手部麻木数年。MR显示如下图。 可能的诊断为
选项 A.Chiari畸形Ⅰ型 B.Chiari畸形Ⅱ型 C.脊髓空洞症 D.Dandy-walker畸形 E.VHL
答案 A
解析

猜你喜欢

发表评论
更多 网友评论0 条评论)
暂无评论

Copyright © 2012-2014 恰考网 Inc. 保留所有权利。 Powered by tikuer.com

页面耗时0.0356秒, 内存占用1.03 MB, Cache:redis,访问数据库20次