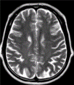
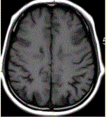
患者男,61岁,有癫痫病史。MRI表现如图所示。最可能的诊断为A.少枝胶质细胞瘤B.星形细胞瘤C.结节性硬化D.结节型灰质异位E.颅面...

作者: rantiku 人气: - 评论: 0
问题 患者男,61岁,有癫痫病史。MRI表现如图所示。 最可能的诊断为
选项 A.少枝胶质细胞瘤 B.星形细胞瘤 C.结节性硬化 D.结节型灰质异位 E.颅面血管瘤病(Sturge-Weber)综合征
答案 D
解析

猜你喜欢

发表评论
更多 网友评论0 条评论)
暂无评论

Copyright © 2012-2014 恰考网 Inc. 保留所有权利。 Powered by tikuer.com

页面耗时0.0441秒, 内存占用1.03 MB, Cache:redis,访问数据库19次