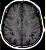
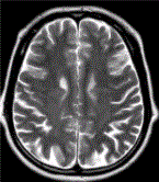
患者男,61岁,有癫痫病史。MRI表现如图所示。关于该病的描述,错误的是A.神经元由室管膜周围生发层至皮质移行中受阻或中断B.均为先天性C.M...

作者: rantiku 人气: - 评论: 0
问题 患者男,61岁,有癫痫病史。MRI表现如图所示。 关于该病的描述,错误的是
选项 A.神经元由室管膜周围生发层至皮质移行中受阻或中断 B.均为先天性 C.MRI薄层高分辨T1WI显示敏感 D.可分为结节状或带状的灰质异位 E.皮层下区病变可与皮质或脑室壁相连
答案 B
解析

猜你喜欢

发表评论
更多 网友评论0 条评论)
暂无评论

Copyright © 2012-2014 恰考网 Inc. 保留所有权利。 Powered by tikuer.com

页面耗时0.0348秒, 内存占用1.03 MB, Cache:redis,访问数据库14次