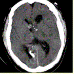
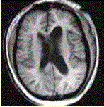
男性,24岁。反复癫痫发作。头CT及MRI显示如下图。关于室管膜下巨细胞星形细胞瘤的描述,错误的是A.结节性硬化患者,癫痫加重或出现脑...

作者: rantiku 人气: - 评论: 0
问题 男性,24岁。反复癫痫发作。头CT及MRI显示如下图。 关于室管膜下巨细胞星形细胞瘤的描述,错误的是
选项 A.结节性硬化患者,癫痫加重或出现脑室梗阻症状提示SGCA B.结节性硬化患者,孟氏孔附近增大,强化肿块,提示SGCA C.每1~2年随访MR,评价有无新的SGCA D.50%家族遗传(结节性硬化),常染色体显性遗传 E.结节性硬化患者,85%发生SGCA
答案 E
解析

猜你喜欢

发表评论
更多 网友评论0 条评论)
暂无评论

Copyright © 2012-2014 恰考网 Inc. 保留所有权利。 Powered by tikuer.com

页面耗时0.0393秒, 内存占用1.03 MB, Cache:redis,访问数据库20次