男性,24岁。反复癫痫发作。头CT及MRI显示如下图。病变的诊断为A.结节性硬化B.结节性硬化,室管膜下巨细胞星形细胞瘤C.转...

作者: rantiku 人气: - 评论: 0
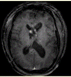
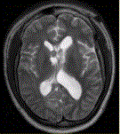
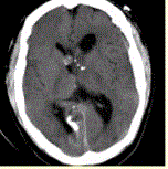
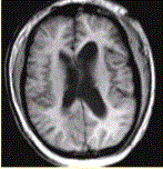
问题 男性,24岁。反复癫痫发作。头CT及MRI显示如下图。 病变的诊断为
选项 A.结节性硬化 B.结节性硬化,室管膜下巨细胞星形细胞瘤 C.转移瘤 D.室管膜瘤 E.脉络丛乳头状瘤
答案 B
解析

猜你喜欢

发表评论
更多 网友评论0 条评论)
暂无评论

Copyright © 2012-2014 恰考网 Inc. 保留所有权利。 Powered by tikuer.com

页面耗时0.0404秒, 内存占用1.03 MB, Cache:redis,访问数据库18次