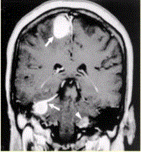
患者男,20岁,头痛、步态不稳。MRI显示如下图。关于神经纤维瘤病的影像学表现,正确的是A.Ⅰ型主要累及外周神经的丛状纤维瘤及视神经胶质瘤B....

作者: rantiku 人气: - 评论: 0
问题 患者男,20岁,头痛、步态不稳。MRI显示如下图。 关于神经纤维瘤病的影像学表现,正确的是
选项 A.Ⅰ型主要累及外周神经的丛状纤维瘤及视神经胶质瘤 B.Ⅱ型可见蝶骨大翼发育不良,眶上裂增宽等 C.皮肤caféanlait斑,腋窝、腹股沟雀斑常见于Ⅱ型 D.Ⅰ型常见多发脑神经鞘瘤、脑膜瘤及脊神经肿瘤 E.NF-2相关的神经鞘瘤较散发的增生活性高而且存在侵袭性
答案 A
解析

猜你喜欢

发表评论
更多 网友评论0 条评论)
暂无评论
错误啦!

错误信息

  • 消息: [程序异常] : MISCONF Redis is configured to save RDB snapshots, but it's currently unable to persist to disk. Commands that may modify the data set are disabled, because this instance is configured to report errors during writes if RDB snapshotting fails (stop-writes-on-bgsave-error option). Please check the Redis logs for details about the RDB error.
  • 文件: /twcms/kongphp/cache/cache_redis.class.php
  • 位置: 第 85 行
    <?php echo 'KongPHP, Road to Jane.'; ?>