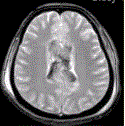
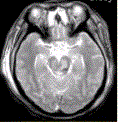
男性,25岁,车祸外伤后昏迷,X线平片与CT未见明确骨折及颅内血肿,MR表现如下图。弥漫性轴索损伤的影像学表现,表述错误的是A.磁敏感加权像较...

作者: rantiku 人气: - 评论: 0
问题 男性,25岁,车祸外伤后昏迷,X线平片与CT未见明确骨折及颅内血肿,MR表现如下图。 弥漫性轴索损伤的影像学表现,表述错误的是
选项 A.磁敏感加权像较GRE能发现更多的病灶 B.MRI表现为多灶性T2WI高信号,慢性期可呈低信号 C.GRET2*WI显示微小出血灶敏感,由于磁敏感效应,病变呈多发低信号 D.DWI显示病变呈高信号,ADC图呈低信号,DTI可显示白质损伤的程度 E.MRS显示NAA下降,提示神经元损伤与预后相关,Cho无变化
答案 E
解析

猜你喜欢

发表评论
更多 网友评论0 条评论)
暂无评论

Copyright © 2012-2014 恰考网 Inc. 保留所有权利。 Powered by tikuer.com

页面耗时0.0289秒, 内存占用1.03 MB, Cache:redis,访问数据库18次