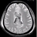
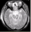
男性,25岁,车祸外伤后昏迷,X线平片与CT未见明确骨折及颅内血肿,MR表现如下图。有关该病的描述不正确的是A.脑组织在创伤造成的减速运动中,...

作者: rantiku 人气: - 评论: 0
问题 男性,25岁,车祸外伤后昏迷,X线平片与CT未见明确骨折及颅内血肿,MR表现如下图。 有关该病的描述不正确的是
选项 A.脑组织在创伤造成的减速运动中,因皮、髓质质量不一致产生剪力而致轴索的撕裂 B.影像学表现与临床预后不一致 C.CT检查可明确诊断 D.病变主要见于灰、白质交界区、脑干、胼胝体等部位 E.MRT2*WI可清晰显示病变,与T2WI相比,T2*WI更敏感
答案 C
解析

猜你喜欢

发表评论
更多 网友评论0 条评论)
暂无评论

Copyright © 2012-2014 恰考网 Inc. 保留所有权利。 Powered by tikuer.com

页面耗时0.0497秒, 内存占用1.03 MB, Cache:redis,访问数据库20次