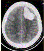
患者男,45岁,突发剧烈头痛伴呕吐30min。既往有高血压病史,平日血压为(190~160)/(100~110)mmHg。查体:右侧肢体肌力Ⅱ级,无颈项强...

作者: rantiku 人气: - 评论: 0
问题 患者男,45岁,突发剧烈头痛伴呕吐30min。既往有高血压病史,平日血压为(190~160)/(100~110)mmHg。查体:右侧肢体肌力Ⅱ级,无颈项强直。CT表现如下图。 以急性脑卒中起病的患者,应首选的影像学方法是
选项 A.CT B.MRI C.X线平片 D.B超 E.放射性核素
答案 A
解析

猜你喜欢

发表评论
更多 网友评论0 条评论)
暂无评论

Copyright © 2012-2014 恰考网 Inc. 保留所有权利。 Powered by tikuer.com

页面耗时0.0352秒, 内存占用1.03 MB, Cache:redis,访问数据库19次