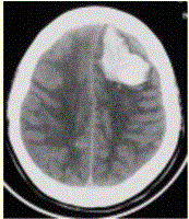
患者男,45岁,突发剧烈头痛伴呕吐30min。既往有高血压病史,平日血压为(190~160)/(100~110)mmHg。查体:右侧肢体肌力Ⅱ级,无颈项强...

作者: rantiku 人气: - 评论: 0
问题 患者男,45岁,突发剧烈头痛伴呕吐30min。既往有高血压病史,平日血压为(190~160)/(100~110)mmHg。查体:右侧肢体肌力Ⅱ级,无颈项强直。CT表现如下图。 关于脑血肿典型的MRI表现,描述不正确的是
选项 A.3d以内,T1WI等信号,T2WI低信号 B.3~6d,T1WI低信号,T2WI低信号 C.6~8d,T1WI高信号,T2WI高信号 D.15d以后,T2WI上高信号的血肿周围出现低信号环 E.完全液化后,T1WI低信号,T2WI高信号
答案 B
解析

猜你喜欢

发表评论
更多 网友评论0 条评论)
暂无评论

Copyright © 2012-2014 恰考网 Inc. 保留所有权利。 Powered by tikuer.com

页面耗时0.0560秒, 内存占用1.03 MB, Cache:redis,访问数据库18次