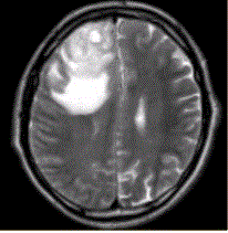
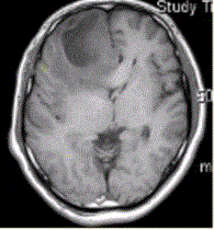
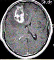
患者女,67岁,头痛伴呕吐1周。既往体健。MR表现如下图。脑肿瘤强化行为主要取决于A.脑屏障破坏程度及肿瘤的血供B.肿瘤大小C.使用离子型还是...

作者: rantiku 人气: - 评论: 0
问题 患者女,67岁,头痛伴呕吐1周。既往体健。MR表现如下图。 脑肿瘤强化行为主要取决于
选项 A.脑屏障破坏程度及肿瘤的血供 B.肿瘤大小 C.使用离子型还是非离子型对比剂 D.年龄 E.部位
答案 A
解析

猜你喜欢

发表评论
更多 网友评论0 条评论)
暂无评论

Copyright © 2012-2014 恰考网 Inc. 保留所有权利。 Powered by tikuer.com

页面耗时0.0269秒, 内存占用1.03 MB, Cache:redis,访问数据库14次